Complex hip revision in a patient with massive massive loss bone stock

Hip
Revision
Complex hip revision in a patient with massive massive loss bone stock

A 57-year-old man with a history of hypertension and a right hip replacement in 1993 presents with worsening right hip pain over 10 years. He uses one cane, has a 3 cm leg length discrepancy, and a soft mass in the groin.  What are your diagnostic hypotheses?

Pierre Laboudie
Bordeaux, FRANCE
Clinique du sport
Part one
Clinical presentation
  • 57-year-old gentleman
  • Medical history: high blood pressure, right THR post-traumatic in 1993
  • Right hip pain increasing for more than 10 years but patient was scared to see a specialist.
  • Walks with 1 cane
  • Lower Limb Discrepancy of 3cm
  • Lateral and anterior incision on the hip not inflammatory
  • Range Of Motion: 90 / 0 / 30 / 30 / 20 / 0
  • Palpation of a soft mass in the groin
  • Blood sample: normal hemogram and CRP <5
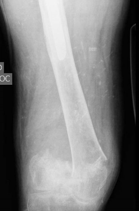
Pre-op x-ray
Pre-op x-ray
 

Powered by Quiz Maker 

Part two
Quiz results

What additional imaging or test do you ask?

  • ✔️Hip aspiration for cytology, bacteriology and pathology
  • ✔️CT and Arterio-CT 

What are your diagnostic hypotheses?

  • ✔️Metallosis (ARMD)
  • ✔️Poly wear ?
  • ✔️Infection
  • ✔️Sarcoma/Tumour

Infection and cancer work-up were negative

Final strategy decision

A hip revision with a stemmed cup (transtrochanteric approach for gluts) and Allograft Prosthetic Composites was performed.

A hip revision with a stemmed cup

A Lagrange and Letournel femoral cemented stem was implanted

A Lagrange and Letournel femoral cemented stem was implanted

Continuation of the patient's medical journey

At post-op day 1, the patient had increased pain, a sensation of instability and a sciatic nerve palsy (new).

A sensation of instability and a sciatic nerve palsy

A removal of the cup (in the sciatic nerve) was done.

A Removal of the cup (in the sciatic nerve) was done

2 months after (without weight bearing and denutrition) a complex cup revision was performed.

A complex cup revision was performed

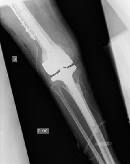
But... We noticed after removal of the drapes a massive knee instability that was not known before, and we asked for an x-ray.

A massive knee instability that was not known before

Internal fixation was impossible because there wasn’t enough bone distally. A Hinge TKR and a  bridging plate were fitted.

Internal fixation was impossible because there wasn’t enough bone distally

But it’s not finished…

  • At post-op day 12, hip and knee wounds were purulent, T°C was at 39°C and CRP at 300
  • Patient underwent DAIR of hip + femur + knee
  • At post-op day 17 of the second surgery, CRP increased again at 250 (after having decreased), both wounds were inflammatory, T°C was 38°C (patient was under effective bi-antibiotherapy)
  • A 2nd DAIR procedure was performed
  • 2 weeks after, same septic failure happened and patient dislocated (several times)
At Post-Op Day 12, hip and knee wounds were purulent, T°C was at 39°C and CRP at 300

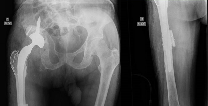
 A 2-stage surgery was planned: 1st stage of ilio-tibial spacer then total femur.

  • During 1st stage, blood loss was massive (15 red cell units) and the patient was hemodynamically very unstable +++
  • We decided to close for hemostasis purposes before implantation of the spacer and decided on a hip disarticulation after the patient stabilised…

 

A 2 stage surgery was planed: 1st stage of ilio-tibial spacer then total femur.

A hip disarticulation was done one week later.

A Hip disarticulation was done one week later

Login or register to post comments.