Management of an acetabular cup loosening with severe bone loss

Hip
Total Hip replacement
Management of an acetabular cup loosening with severe bone loss

The goals of this clinical case are to discuss the different therapeutic options in case of acetabular loosening in total hip arthroplasty, to propose an innovative technique, and to see outcomes after revision hip surgery.

Nicolas Reina
CHU Toulouse, FRANCE
Course Director

Professor Reina is Head of Hip and Trauma department, of the University Hospital in Toulouse, France. He holds a PhD in Anthropobiology. He completed a fellowship in Oxford, UK and worked in Mayo Clinic, Rochester for research.

His main focus is hip & pelvis surgery. His clinical practice comprises conservative surgery, primary and complex revision total hip arthroplasty as well as trauma for complex acetabular fractures.

Board member of French Hip Knee Surgery, he is also member of the European Hip Society and the International Board of the American Association of Hip Knee Surgeons. He published more than 150 peer reviewed publications and book chapters, and lectured in various international conferences. His research interests integrate big data in orthopedics, modern care in hip surgery such as minimally invasive techniques, and musculoskeletal system’s ability to adapt to its environment (biomechanics and anthropological variability).

Nicolas Vari
CHU Toulouse, France
Orthopaedic surgeon
Part one
Clinical presentation
  • 41-year-old male​
  • Femoral head necrosis​
  • THA 16 years ago​
  • In pain since 2015, no story of infection​
  • On physical examination, he presents limp, stiffness and pain in rotations

Imagery​

Acetabular cup loosening with severe bone loss : imagery
 

Powered by Quiz Maker

Part two
Quiz results

Which classification allows us to classify this pathology and what is its grade?

  • ✔️ Paprosky classification grade 2c

How would you manage this condition?

  • ✔️ Partial surgical revision in 1 time after eliminating a possible chronic infection

Which type of implant would you use? How do you manage bone loss?

  • ✔️ Revision of acetabular cup bridging areas of acetabular bone loss

 


 

Final strategy decision

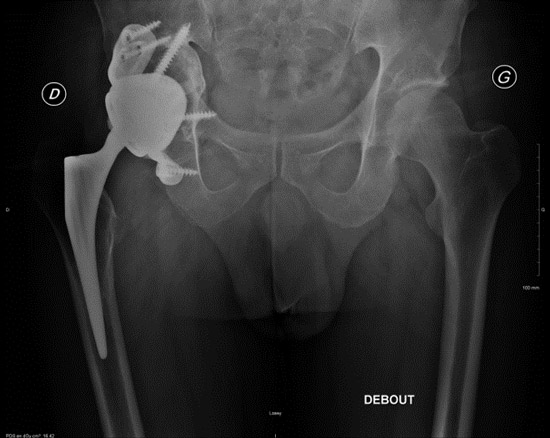
In this case, we decided to perform a scan-guided pre-operative puncture to rule out a septic cause. We then implanted a custom-made 3D implant (ADLER) to compensate for the bone defect and perform a unipolar revision of the acetabular side with a dual mobility cemented cup. We made this choice because the bone loss could not have been compensated for by an autograft and/or a support ring.

1. Meding JB, Meding LK. Custom Triflange Acetabular Implants: Average 10-Year Follow-Up. J Arthroplasty 2023;38(7):S201–5.
2. Alexander JS, Lombardi AV, Berend KR, Morris MJ, Adams JB, Crawford DA. Custom Triflange Acetabular Components For Catastrophic Bone Loss: Minimum 5-Year Results. J Arthroplasty 2023;38(7):1330–4.
3. Broekhuis D, Tordoir R, Vallinga Z, Schoones J, Pijls B, Nelissen R. Custom triflange acetabular components for large acetabular defect reconstruction in revision total hip arthroplasty: a systematic review and meta-analysis on 1218 patients. EFORT Open Rev 2023;8(7):522–31.

 

Pre-op planification

Pre-op planification
Final strategy decision

Postoperative imagery

Postoperative imagery

> 2 years imagery

Postoperative imagery
Postoperative imagery

Function / Clinical examination

  • All activities without limitation, including running
  • « Forgotten hip »
  • 110/20/30/45

Login or register to post comments.