Management of an inveterate dislocation of the patella

Knee
Osteotomy
Patella
Management of an inveterate dislocation of the patella

The objectives of this clinical case are to discuss the normal anatomy of the patellofemoral joint and the different therapeutic options in case of an inveterate patellar dislocation.

Vincent Marot
Escaldes, Andorra
Hospital Nostra Senyora de Meritxell
Part one
Clinical presentation
  • A 31-year-old male patient
  • Knee trauma when he was 10 years old
  • Failed soft tissue surgery 20 years ago
  • On physical examination, he presented with a non-reducible patellar dislocation which causes pain and functional loss

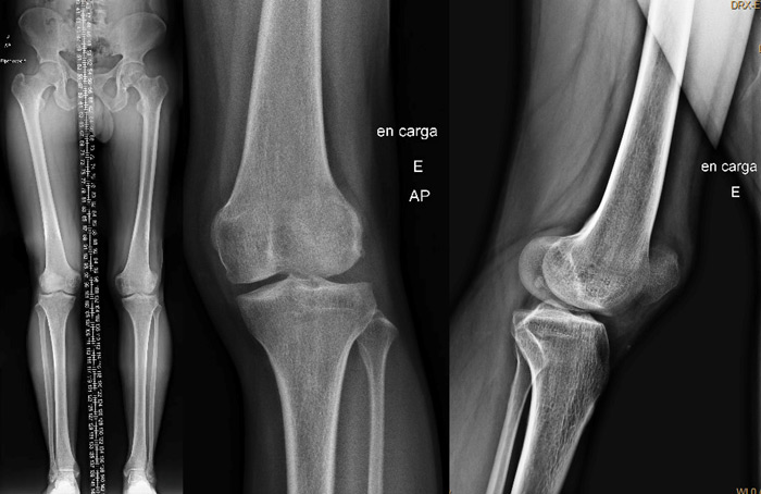
Pre-operative X-rays

Pre-op X-rays

Pre-operative CT-scan

Pre op CT-scan
Pre op CT-scan

Pre-operative measurements

  • HKA = 180°
  • TT-TG = 24 mm
  • Femoral neck anteversion (FNA) = 27.5°
  • Dejour type C trochlear dysplasia
 

Powered by Quiz Maker

Part two
Quiz results

What are the normal values of the femoral neck anteversion and the TT-TG?

  • ✔️ FNA = 15, TT-TG = 9

Scorcelletti M, Reeves ND, Rittweger J, Ireland A. Femoral anteversion: significance and measurement. J Anat. 2020 Nov

Rhee, SJ., Pavlou, G., Oakley, J. et al. Modern management of patellar instability. International Orthopaedics (SICOT) 36, 2447–2456 (2012)

How would you manage this condition?

  • ✔️Tibial tubercle medialisation
  • ✔️Femoral derotation osteotomy
  • ✔️Lateral patellar release
  • ✔️MPFL reconstruction

Final strategy decision

The patient presented with an increased femoral anteversion of 14° in comparison to his contralateral lower limb, and an increased TT-TG of over 20°.

We usually leave the trochleoplasty as the last surgical option. Our choice was then to perform...

1 - a femoral derotation osteotomy of 14° thanks to a personalized cutting guide (PSI-NEWCLIP).

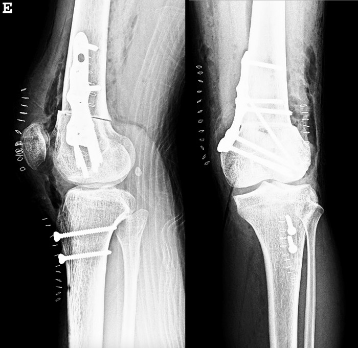
Femoral derotation osteotomy
Management of an inveterate dislocation of the patella
Management of an inveterate dislocation of the patella

2 - a tibial tubercle medialisation according to the Elmslie – Trillat technique, a TT-TG over 20 should be medialised

Cox JS. An evaluation of the Elmslie-Trillat procedure for management of patellar dislocations and subluxations: a preliminary report. Am J Sports Med. 1976

Tibial tubercule medialisation

3 - a lateral release

4 - an MPFL reconstruction using a gracilis tendon.

Ahmad R, Jayasekera N, Schranz P, Mandalia V. Medial patellofemoral ligament reconstruction: a technique with a "v"-shaped patellar tunnel. Arthrosc Tech. 2014 Sep 22

Post-operative X-rays

Post-op X-Rays

Post-operative physical examination

Comments

Login or register to post comments.