Management of a peri prosthetic femoral fracture

Hip
Revision
Revision Arthroplasty
Management of a peri prosthetic femoral fracture

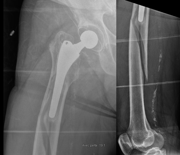
A 71-year-old male, who underwent a right Total Hip Arthroplasty (THA) 12 years ago and a left THA 5 years ago for hip osteoarthritis, recently experienced a fall while walking. Which classification system is appropriate for categorizing the fracture observed in the imagery, and what specific grade? Considering the patient's age, history of bilateral THA, and the nature of the fracture, how would you approach the management of this condition?

Nicolas Reina
CHU Toulouse, FRANCE
Course Director

Professor Reina is Head of Hip and Trauma department, of the University Hospital in Toulouse, France. He holds a PhD in Anthropobiology. He completed a fellowship in Oxford, UK and worked in Mayo Clinic, Rochester for research.

His main focus is hip & pelvis surgery. His clinical practice comprises conservative surgery, primary and complex revision total hip arthroplasty as well as trauma for complex acetabular fractures.

Board member of French Hip Knee Surgery, he is also member of the European Hip Society and the International Board of the American Association of Hip Knee Surgeons. He published more than 150 peer reviewed publications and book chapters, and lectured in various international conferences. His research interests integrate big data in orthopedics, modern care in hip surgery such as minimally invasive techniques, and musculoskeletal system’s ability to adapt to its environment (biomechanics and anthropological variability).

Part one
Clinical presentation
  • 71 Y.O male
  • Right THA 12 years ago and left THA 5 years ago for hip osteoarthritis
  • Experienced a fall while walking

Imagery

 

Management of a peri prostetic femoral fracture - Imagery
Peri prostetic femoral fracture - Imagery
Peri prostetic femoral fracture - Imagery

Previous X-rays

Peri prostetic femoral fracture - Previous X-rays
 

Powered by Quiz Maker

Part two
Quiz results

Which classification allows us to categorize this fracture and what is its grade?

  • ✔️Vancouver classification grade B2

Duncan CP, Masri BA. Fractures of the femur after hip replacement. Instr Course Lect. 1995;44:293-304.

How would you manage this condition?

  • ✔️Surgical stem revision and femoral ORIF with a plate

Mondanelli N, Troiano E, Facchini A, Ghezzi R, Di Meglio M, Nuvoli N, Peri G, Aiuto P, Colasanti GB, Giannotti S. Treatment Algorithm of Periprosthetic Femoral Fracturens. Geriatr Orthop Surg Rehabil. 2022 May 10;13:21514593221097608. doi: 10.1177/21514593221097608. PMID: 35573905; PMCID: PMC9096211.

Final strategy decision

  • In this case, we decided to perform a unipolar revision and ORIF with a plate (NCB Zimmer) and a cemented revision stem (Exeter Stryker), due to the extension of the fracture beyond the femoral isthmus.
  • The patient was asked to avoid weight-bearing for 3 weeks.
  • At 6 weeks post-op he was able to walk with one crouch

Postoperative imagery

Peri prostetic femoral fracture - Postoperative imagery
Peri prostetic femoral fracture - Postoperative imagery

Login or register to post comments.