Management of a complex pelvic fracture in a 43-year-old man

Hip
Management of a complex pelvic fracture in a 43-year-old man

Josep Maria Muñoz-Vives presents the case of a 43-year-old male who sustained polytrauma as a result of a climbing accident... The goals of this clinical case are to discuss the management, classifications and sequelae of pelvic fractures. 

Josep Maria Muñoz-Vives
Fundació Althaia, Manresa / Hospital Nostra Senyora de Meritxell, Andorra
Orthopaedic trauma surgeon
Part one
Clinical presentation
  • 43-year-old male
  • Climbing accident
  • Polytrauma with among other things, a complex pelvic fracture
Emergency CT-scan with overthigthened binder
Emergency CT-scan with overthigthened binder
Emergency CT-scan with overthigthened binder
Emergency CT scan
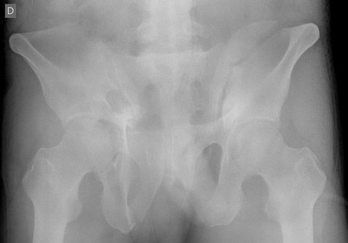
Pre-op X-Rays after applying correct amount of binder compression
Pre-op X-Rays after applying correct amount of binder compression
Pre-op X-Rays
Pre-op X-Rays
Pre-op X-Rays
Pre-op X-Rays
 

Powered by Quiz Maker

Part two
Quiz results

What are the functions of the pelvic binder?

  • ✔️Diminution of the pelvic volume
  • ✔️Stabilization of clots from bony surfaces and vascular structures

Bottlang M, Krieg JC, Mohr M, Simpson TS, Madey SM. Emergent management of pelvic ring fractures with use of circumferential compression. J Bone Joint Surg Am. 2002;84-A Suppl 2:43-7. doi: 10.2106/00004623-200200002-00005. PMID: 12479338.

What type of fracture is it?

  • ✔️Vertical shear according to Young and Burgess classification
  • ✔️Associated both column fracture according to Judet and Letournel

Judet R, Judet J, Letournel E: Fractures of the acetabulum: Classification and surgical approaches for open reduction. Preliminary report. J Bone Joint Surg Am 1964;46:1615-1646.
Burgess AR, Eastridge BJ, Young JW, Ellison TS, Ellison PS Jr, Poka A, Bathon GH, Brumback RJ. Pelvic ring disruptions: effective classification system and treatment protocols. J Trauma. 1990 Jul;30(7):848-56. PMID: 2381002.

What are the main sequelae of this kind of trauma?

  • ✔️Sexual dysfunction
  • ✔️Chronic pain

Vallier HA, Cureton BA, Schubeck D: Pregnancy outcomes after pelvic ring injury. J Orthop Trauma 2012;26(5):302-307.
Metze M, Tiemann AH, Josten C: Male sexual dysfunction after pelvic fracture. J Trauma 2007;63(2):394-401


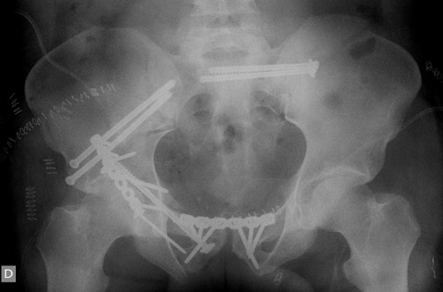
Final strategy decision

  • The posterior pelvic injury was first anatomically reduced and stabilized by two iliosacral screws.
  • Then the anterior column of the acetabulum was reduced and stabilised by 2 anteroposterior iliac screws and one retrograde anterior column screw, the symphysis was plated.
  • Finally, the posterior column was reduced through a Kocher-Langenbeck approach and fixed to the anterior column with a magic screw and a posterior plate.
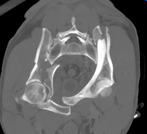
First step: Pelvic ring and anterior column fixation
First step: Pelvic ring and anterior column fixation
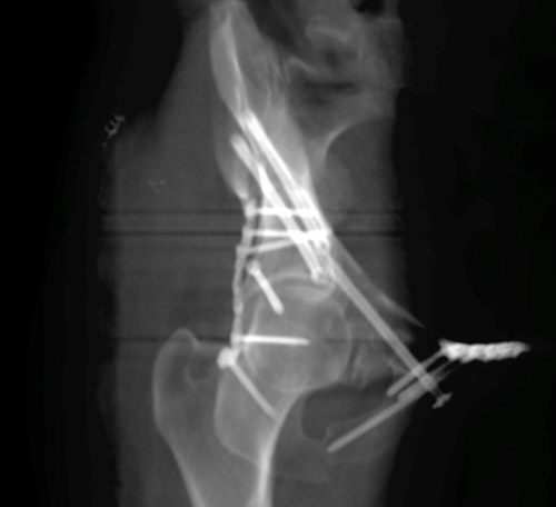
Second step: Posterior column fixation
Second step: Posterior column fixation
Posterior column fixation
Posterior column fixation
Posterior column fixation

Comments

Login or register to post comments.