Management of a knee instability after ski trauma in a young woman​

Knee
Osteotomy
Sport related injury
Management of a knee instability after ski trauma in a young woman​

The goals of this clinical case are to discuss the different therapeutic options in case of vicious callus of the proximal tibia, to discuss the physical examination of an unstable knee, and to propose an innovative technique. Stay tuned for Part 2!

Vincent Marot
Escaldes, Andorra
Hospital Nostra Senyora de Meritxell
Part one
Clinical presentation
  • 32-year-old female​
  • Occasional skier​
  • Knee trauma skiing 3 years ago operated on with an anteromedial proximal tibial plate​
  • Her main complaints are pain and subjective knee instability.
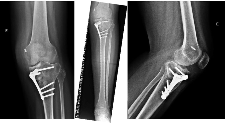
Pre-op Xrays
Pre-op Xrays​
Pre-op MRI​
Pre-op MRI​
 

Powered by Quiz Maker

Part two
Quiz results

In view of the lateral radiography, which test(s) do you expect to be positive in your physical examination?

  • ✔️ Reverse pivot shift test
  • ✔️ Posterior sag sign

The lateral X-ray shows a posterior displacement of the tibia due to a PCL torn. In those cases, you should find a positive reverse pivot shift test and a posterior sag sign

Nielsen S, Helmig P. Posterior instability of the knee joint. An experimental study. Arch Orthop Trauma Surg (1978). 1986;105(2):121-5. doi: 10.1007/BF00455846. PMID: 3718189.

Which type of surgery should be proposed to the patient?

  • ✔️ Shiba osteotomy

A conservative treatment should be proposed for this very young patient even if a TKA may be a legitimate treatment according to other surgeons. No UKA should be proposed because of the PCL lesion.

Mody BS, Mody K. Arthroplasty in young adults: options, techniques, trends, and results. Curr Rev Musculoskelet Med. 2014 Jun;7(2):131-5. doi: 10.1007/s12178-014-9213-3. PMID: 24677185; PMCID: PMC4092200

Kwon HM, Kang KT, Kim JH, Park KK. Medial unicompartmental knee arthroplasty to patients with a ligamentous deficiency can cause biomechanically poor outcomes. Knee Surg Sports Traumatol Arthrosc. 2020 Sep;28(9):2846-2853. doi: 10.1007/s00167-019-05636-7. Epub 2019 Jul 25. PMID: 31346669.

Final strategy decision

In this case, our choice was to perform a shiba osteotomy (intra-articular osteotomy) thanks to a custom-made cutting guide (NEWCLIP), and a PCL reconstruction thanks to a posterior tibial tendon allograft.

3D Pre-operative planning
3D Pre-operative planning
3D Pre-operative planning
3D Pre-operative planning
Arthroscopic femoral tunnel drilling
Arthroscopic femoral tunnel drilling
Positioning of the custom made cutting guide
Positioning of the custom-made cutting guide
Osteotomy
Osteotomy
Tibial tunel drilling thanks to a custom made guide arthroscopically assisted
Tibial tunel drilling thanks to a custom-made guide arthroscopically assisted
Final aspect after bone grafting and fixation of the posterior tibial tendon allograft
Final aspect after bone grafting and fixation of the posterior tibial tendon allograft
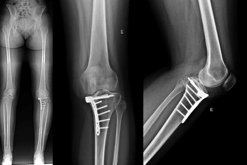
Post-operative X-rays
Post-operative X-rays

Comments

Login or register to post comments.