Femoral fracture unmasking dedifferentiated chondrosarcoma: A 52-year-old's diagnosis

Knee
Femoral fracture unmasking dedifferentiated chondrosarcoma: A 52-year-old's diagnosis

What are the therapeutic options in case of spontaneous pathological diaphyseal fracture of the right femur leading to the diagnosis of a dedifferentiated chondrosarcoma in a 52-year-old man? How would you manage this clinical case?

Louis Courtot
Hopital Pierre Paul Riquet, Toulouse, France
Orthopaedic surgeon
Pierre Paul Riquet Hospital, Toulouse, France
Orthopaedic surgeon
Part one
Clinical presentation
  • 52 year-old man
  • Suffering bilateral leg pain for several months, diagnosed as a sciatic on the left side and as a truncated cruralgia on the right side.
  • The compressive herniated disc L4/L5 was operated on the 30/01/2023
  • A spontaneous, non-traumatic, fracture of the right femoral shaft occurred during the immediate post-operation manipulation (30/01/2023)
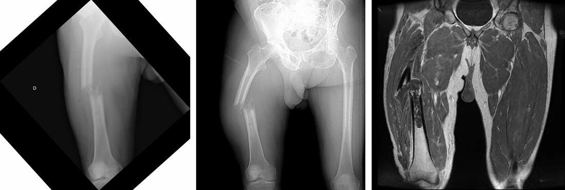
  • The X-ray showed a pathological diaphyseal fracture of the right femur
Imagery

Further exams were done (CT, MRI, TEP-scan) and the case was discussed during the oncologic pluri-disciplinary meeting.

A biopsy of the lesion was done on the 10/02/2023, the analysis concluded to a dedifferentiated chondrosarcoma.

 

Powered by Quiz Maker

Part two
Quiz results

How would you manage this condition?

  • ✔️Radiological biopsy, oncologic treatment and later removal and reconstructive tumoral surgery

 


 

Final strategy decision

  • After anatomopathological results of the biopsy and discussion at the oncologic pluri-disciplinary meeting treatment plan was set up with neoadjuvant chemotherapy followed by surgery
  • A trans-tibial traction of the leg was done, to try to relieve the fracture pain during the medical treatment time
  • The follow-up scan at 4 months showed a very limited evolution of the tumor, without obvious regression and without consolidation of the fracture
  • The operation was planned for 29/06/2023

Surgery 06/2023

  • A monobloc resection of the tumor was made with a femur proximal section at 7cm distal to the small trochanter and a distal section at 12cm of the interlining joint of the knee
  • An important muscle portion of the quadriceps was removed
  • The diaphysis was then reconstructed with a masquelet technique, divided into an endo-osteal and an extra-osteal fixation.
  • For the internal fixation of the masquelet we used 2 Fuse-3D implants impacted in the proximal and distal remaining diaphysis of the femur and 3 spindles diameter 1,5, length 40cm were fixed inside and surrounded by wire cerclage
  • For the external fixation of the masquelet we used a lateral femur plate fixed by 11 screws (7 fixed in the remaining bone, 4 fixed in the masquelet)
  • Around this montage, cement was sunk

Per-op pictures

Per-op pictures
Per-op pictures
Per-op pictures
Per-op pictures
Per-op pictures
Per-op pictures
Per-op pictures

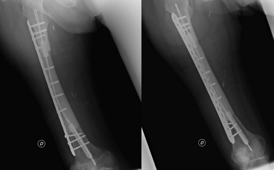
Post-op x-rays

Post-op x-rays
Post-op x-rays

Patient follow-up

  • Anatomopathological results: R0, with bad chemotherapy response
  • Pulmonary metastases were discovered and no reconstruction is scheduled for now
  • Clinically: able to stand up and walk for a few steps with a walker
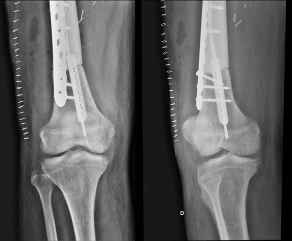
X-rays at 1 month
X-rays at 1 month 07/2023

Login or register to post comments.