Management of complex knee arthritis with ligament deficiency

Knee
Knee replacement
Management of complex knee arthritis with ligament deficiency

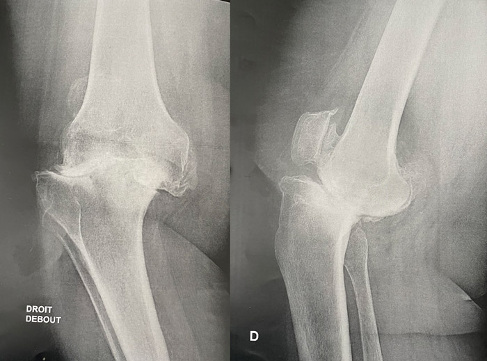
A 68-year-old woman has been suffering from mechanical bilateral knee pain for the past 6 years. The x-rays reveal complex right knee arthritis with ligament deficiency. How would you classify it and how would you manage this condition?

Laurent Bedes
Clinique Rive Gauche, Toulouse, France
Orthopaedic surgeon
Part one
Clinical presentation
  • 68 y.o. woman,
  • Mechanical bilateral knee pain for 6 years
  • Walking perimeter: 40m with a walker

Physical examination

  • 1m45, 95kg
  • 0/0/ 130°
  • Bilateral varus deformity
  • Lateral and postero-lateral instability
  • Medial femorotibial pain

Right knee X-rays

Right knee X-rays
 

Powered by Quiz Maker

Part two
Quiz results

How would you classify this arthritis?

  • ✔️Kellgren and Lawrence grade 4
  • ✔️Ahlback grade 4

Seeing the posterior cup, what other exams would you do?

  • ✔️3D planning thanks to a CT scan
  • ✔️X-ray telemetry of the lower limbs

How would you manage this condition?

  • ✔️Hinged TKA

In case of severe ligament laxity, a Hinged TKA should be used. In some cases with less severe deformity, a constrained TKA can be implanted.

 


 

Final strategic decision

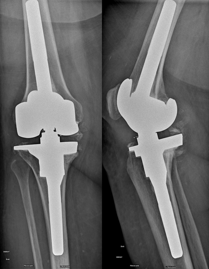
The final strategy was to plan the tibial cut thanks to a custom-made guide (Prophecy Evolution, MICROPORT) and implant a Hinged TKA.

Pre operative planification

Pre operative planification
Pre operative planification
Pre operative planification

Post-operative X-Rays

Post-operative x-rays

Clinical presentation 2 months post-op

The patient is painless, she has a walking perimeter of 1 km with 2 crouches because of left knee pain, and her range of motion is 0/0/110.

Comments

Login or register to post comments.