Management of a multiligament knee injury in a high-level pivoting sport athlete

Knee
ACL
Multi ligament
Sport related injury
Management of a multiligament knee injury in a high-level pivoting sport athlete

A professional rugby player who underwent ACL reconstruction with fascia lata (Mc FL) a few years ago, presents with knee torsional trauma.
After looking at the X-ray, MRI and pre-op testing, what can you say about this multiligament knee injury? What's the best course of action and how would you approach this case?

Etienne Cavaignac
CHU Toulouse, FRANCE
Course Director

I am an orthopedic surgeon specialized in knee surgery. I practice at the University Hospital of Toulouse in the University Sports Clinic located in the Pierre Paul Riquet Hospital.
In addition to teaching at the Faculty of Medicine, I participate in courses for the professional societies to which I belong such as the SFA, ESSKA and SOFCOT.
My clinical activity (more than 800 surgeries per year) is exclusively focused on knee surgery. An important part of my surgeries is related to sports traumatology, in particular anterior cruciate ligament injuries (350+ ACL reconstructions per year).
My research activity is also focused on the knee. I have contributed to more than 110 publications in international journals. I am developing an à la carte approach in order to propose a personalized surgery to the patient. In the context of degenerative activity, the aim is to better analyze the variability of the anatomy in order to be able to propose prostheses adapted to the patient's anatomy. In the context of sports traumatology, it is a question of improving the dismemberment of all the lesions in order to propose an adequate therapy.
Since May 2022, I am a member of the board of ESSKA (European Society of Sports Traumatology Knee Surgery and Arthroscopy) as treasurer.

Part one
Clinical presentation
  • Professional rugby player
  • ACL reconstruction with fascia lata (Mc FL) a few years ago
  • Knee torsional trauma playing rugby
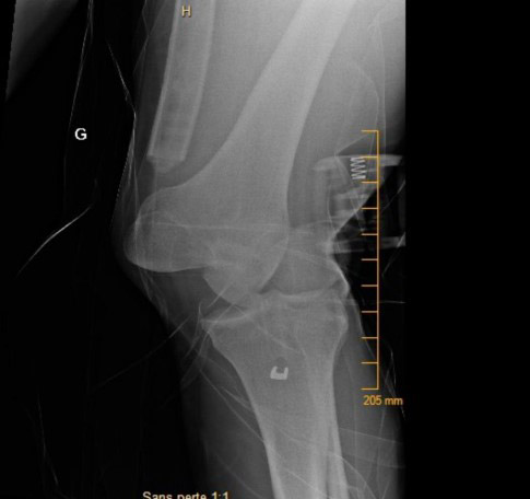
X-Ray at his arrival to the ER
X-Ray at his arrival to the ER

 

Pre operative MRI

 

Pre-op Testing

 

Powered by Quiz Maker

Part two
Quiz results

What is your diagnosis?

  • ✔️ACL rerupture, MCL and POL proximal lesion, PCL torn

How would you manage this condition?

  • ✔️Early operative tratment associating repair and reconstructions

Ramírez-Bermejo E, Gelber PE, Pujol N. Management of acute knee dislocation with vascular injury: the use of the external fixator. A systematic review. Arch Orthop Trauma Surg. 2022 Feb;142(2):255-261. doi: 10.1007/s00402-020-03684-0. Epub 2020 Nov 22. PMID: 33222023.

« External fixator was used in the majority of knee dislocations injuries but the justification for its use remained unclear ».

Levy BA, Dajani KA, Whelan DB, Stannard JP, Fanelli GC, Stuart MJ, Boyd JL, MacDonald PA, Marx RG. Decision making in the multiligament-injured knee: an evidence-based systematic review. Arthroscopy. 2009 Apr;25(4):430-8.

« early operative treatment of the multiligament-injured knee yields improved functional and clinical outcomes compared with nonoperative management or delayed surgery. »

Vicenti G, Solarino G, Carrozzo M, De Giorgi S, Moretti L, De Crescenzo A, Moretti B. Major concern in the multiligament-injured knee treatment: A systematic review. Injury. 2019 Jul;50 Suppl 2:S89-S94. doi: 10.1016/j.injury.2019.01.052. Epub 2019 Feb 15. PMID: 30797544. 10.1016/j.arthro.2009.01.008. PMID: 19341932.

« the best treatment does not exist, but better functional and clinical outcomes have been achieved with reconstruction rather than repair »


Final strategy decision

video

Login or register to post comments.