Post-traumatic knee pain: How to treat double varus deformity?

Knee
Knee replacement
Post-traumatic knee pain: How to treat double varus deformity?

A 43-year-old woman with a history of lower limb fractures treated by casts 19 years ago, presents with knee pain. Discuss with Simone Perelli the causes of knee arthritis and the different therapeutic options.

Simone Perelli
Hospital universitari Quiron Dexeus
Orthopedic surgeon
Part one
Clinical presentation
  • 43 Y.O woman
  • Medical history: Lower limb fractures treated by casts 19 years ago
  • Her complaints are knee pain despite physiotherapy, loss of weight and PRPs and hyaluronic acid injections.
  • On physical examination, she presents a stable knee, with a ROM= 0/0/120, medial pain, no lateral or patellofemoral pain. 
Management of a post-traumatic knee pain: Pre-op XRays
Pre-op XRays
Management of a post-traumatic knee pain: Pre-op XRays
Pre-op XRays
Management of a post-traumatic knee pain: Pre-op CT-scan
Pre-op CT-scan
 

Powered by Quiz Maker

Part two

What are the causes of the patient’s symptoms?

  • Ahlback 3Medial knee arthritis ✔️

What deformity presents the patient?

  • Double varus deformity (tibial and intraarticular) ✔️

Which of these statements are correct?

  • MPTA < 85°1,2 ✔️
  • HKA <175°1,2 ✔️

Which are the contraindications of a medial UKA among the following proposals?

  • HKA < 173°2,3 ✔️
  • ACL torn2,3 ✔️
Final strategy decision: Tibial osteotomy by endomedular nailing, Unicompartmental medial knee replacement
Management of a post-traumatic knee pain: Intra-operative images
Intra-operative images
Intra-operative images
Management of a post-traumatic knee pain: Intra-operative images
Intra-operative images
Management of a post-traumatic knee pain: Intra-operative images
Intra-operative images
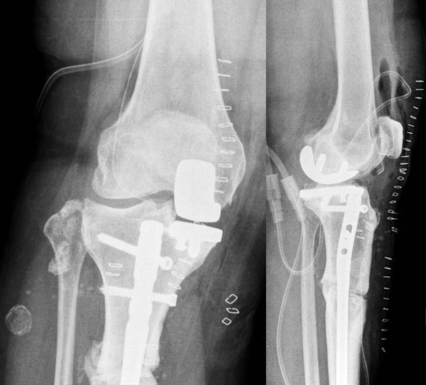
Management of a post-traumatic knee pain: Post-op XRays
Intra-operative images
Management of a post-traumatic knee pain: Post-op XRays
Intra-operative images
References
  1. Thienpont E, Schwab PE, Cornu O, Bellemans J, Victor J. Bone morphotypes of the varus and valgus knee. Arch Orthop Trauma Surg. 2017 Mar;137(3):393-400. doi: 10.1007/s00402-017-2626-x. Epub 2017 Jan 21. PMID: 28110363.
  2. Mullaji A, Shah R, Bhoskar R, Singh A, Haidermota M, Thakur H. Seven phenotypes of varus osteoarthritic knees can be identified in the coronal plane. Knee Surg Sports Traumatol Arthrosc. 2022 Aug;30(8):2793-2805. doi: 10.1007/s00167-021-06676-8. Epub 2021 Jul 20. PMID: 34286347.
  3. Murray DW, Parkinson RW. Usage of unicompartmental knee arthroplasty. Bone Joint J. 2018 Apr 1;100-B(4):432-435. doi: 10.1302/0301-620X.100B4.BJJ-2017-0716.R1. PMID: 29629577.
  4. Liddle AD, Pandit H, Judge A, Murray DW. Optimal usage of unicompartmental knee arthroplasty: a study of 41,986 cases from the National Joint Registry for England and Wales. Bone Joint J 2015;97-B:1506–1511

 

Login or register to post comments.