What's new in orthopedics

Designed By & For you, PCO offers a wealth of constantly updated information on orthopedic surgery specialised in knee and hip treatment. Whether you’re looking for clinical cases, interviews, course videos or webinars, check out these pages regularly, or better yet, sign up for our newsletter and remain in the know!
The goals of this clinical case are to discuss the different therapeutic options in case of acetabular looseni…

As patient care remains our priority at PCO, the afternoon of June 5th

A 68-year-old woman has been suffering from mechanical bilateral knee pain for the past 6 years. The x-rays re…
What are the therapeutic options in case of spontaneous pathological diaphyseal fracture of the right fem…

After the great success of the first edition of PCO, we are back on 5, 6 & 7 June 2024

Frane Bukvić presents the case of a 34-year-old orthopaedic surgeon​ suffering from a symptomatic chondral ‘ki…
Watch this webinar to gain a comprehensive understanding of the state-of-the-art techniques to deal with the g…
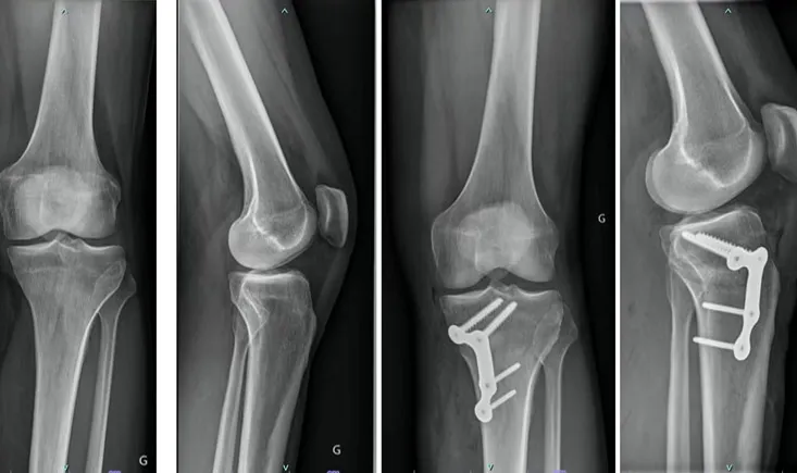
The goals of this clinical case are to discuss the different therapeutic options in case of vicious callus of…

The Practical Course Orthopedics is honored to have two new distinguished experts joining PCO as Course Dir…